Điều trị nha chu tại Yenle Dental
Nhiều người thường lầm tưởng rằng chỉ sâu răng mới gây mất răng. Tuy nhiên, theo các chuyên gia tại Yenle Dental, bệnh nha chu mới chính là nguyên nhân hàng đầu khiến răng bị lung lay và rụng hàng loạt ở người trưởng thành.
Yenle Dental không chỉ điều trị triệu chứng mà còn mang đến giải pháp phục hồi toàn diện hệ thống nâng đỡ răng, giúp bạn giữ vững nụ cười bền vững suốt đời.
Bệnh nha chu là gì và tại sao nó nguy hiểm?
Nha chu là bệnh nhiễm trùng nướu nghiêm trọng làm tổn thương các mô mềm và phá hủy xương xung quanh răng. Nếu viêm lợi chỉ là tình trạng sưng đỏ ở bề mặt, thì nha chu là giai đoạn nặng khi vi khuẩn đã tấn công sâu vào dây chằng và xương ổ răng.

Điều trị nha chu
Những hệ lụy khôn lường nếu không điều trị kịp thời:
-
Mất răng vĩnh viễn: Khi xương và dây chằng bị phá hủy, răng không còn điểm tựa sẽ tự rụng.
-
Tiêu xương hàm: Làm hóp má, biến dạng khuôn mặt và gây khó khăn cực lớn nếu muốn trồng Implant sau này.
-
Biến chứng sức khỏe: Gây hôi miệng trầm trọng, đau khớp thái dương hàm và ảnh hưởng trực tiếp đến hệ tiêu hóa do không nhai được đồ cứng.
Dấu hiệu cảnh báo bạn cần đi khám nha chu ngay lập tức
Hãy kiểm tra răng miệng tại nhà, nếu có một trong các dấu hiệu sau, bạn cần sự can thiệp của bác sĩ chuyên khoa tại Yenle Dental:

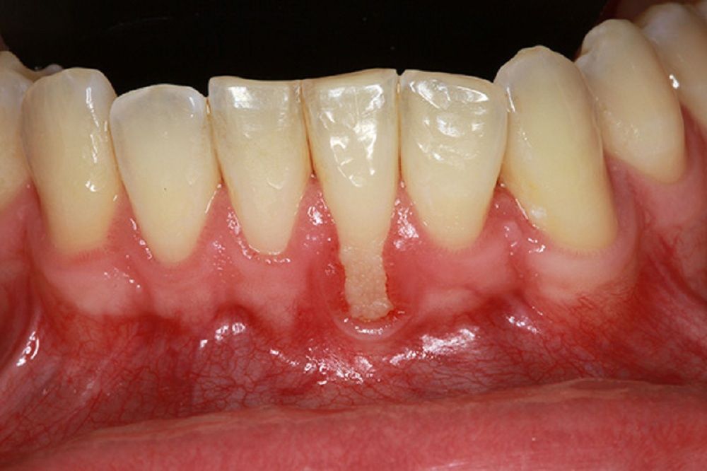
Bệnh nha chu
-
Chảy máu chân răng: Thấy màu hồng trên bàn chải hoặc chỉ nha khoa khi vệ sinh.
-
Nướu bất thường: Nướu sưng húp, mềm, chuyển từ màu hồng sang đỏ sẫm hoặc nâu.
-
Tụt lợi: Răng trông dài hơn bình thường do lợi bị rút xuống, lộ chân răng gây ê buốt.
-
Hơi thở có mùi: Mùi hôi dai dẳng dù đã đánh răng kỹ.
-
Răng lung lay hoặc di chuyển: Cảm giác khớp cắn bị thay đổi, răng thưa dần ra.
Quy trình điều trị nha chu chuyên sâu tại Yenle Dental
Tại Yenle Dental, lộ trình điều trị được cá nhân hóa dựa trên phim chụp CT Cone Beam 3D để bóc tách chính xác mật độ tiêu xương.
1. Phương pháp không phẫu thuật (Giai đoạn sớm)
-
Cạo vôi răng siêu âm: Sử dụng máy Maverick loại bỏ sạch mảng bám và cao răng dưới nướu – nơi bàn chải không thể chạm tới.
-
Bào láng gốc răng (Root Planing): Làm mịn bề mặt chân răng để ngăn vi khuẩn tích tụ trở lại và giúp nướu bám chắc vào răng.
-
Sử dụng kháng sinh: Bác sĩ kê đơn thuốc chuyên dụng hoặc bôi gel kháng sinh tại chỗ để kiểm soát ổ viêm.
2. Phương pháp phẫu thuật (Giai đoạn tiến triển)
-
Phẫu thuật giảm túi (Flap Surgery): Bác sĩ lật vạt nướu để làm sạch sâu gốc răng và điều chỉnh lại mô nướu khít sát hơn.
-
Ghép mô liên kết: Phục hồi đường viền nướu bị tụt, che phủ chân răng bị lộ và tăng tính thẩm mỹ.
-
Ghép xương (Bone Grafting): Sử dụng xương tự thân hoặc xương nhân tạo để tái tạo lại vùng xương ổ răng đã bị vi khuẩn phá hủy, giúp giữ răng cố định.
Tại sao Yenle Dental là địa chỉ tin cậy hàng đầu?
-
Đội ngũ chuyên gia: Dẫn dắt bởi Bác sĩ Lê Yến – chuyên gia gần 20 năm kinh nghiệm, tu nghiệp chuyên sâu tại Thụy Sĩ và Hàn Quốc.
-
Công nghệ dẫn đầu: Ứng dụng máy iTero 5D và CT 3D hiện đại nhất để chẩn đoán chính xác tình trạng răng miệng.
-
Vô trùng tuyệt đối: Hệ thống tiệt trùng chuẩn Đức, đảm bảo an toàn tối đa cho mỗi khách hàng.
-
Tận tâm & Minh bạch: Không "vẽ bệnh", báo giá trọn gói và hỗ trợ chăm sóc hậu mãi 24/7.
Chi phí điều trị nha chu tham khảo
Yenle Dental cam kết mức chi phí hợp lý nhất đi kèm chất lượng y khoa hàng đầu. Nhắn tin ngay cho Yenle Dental để được bác sĩ tư vấn phác đồ bảo tồn răng thật của bạn ngay hôm nay!
HỆ THỐNG NHA KHOA YENLE DENTAL - TRAO NỤ CƯỜI TỪ TRÁI TIM
-
Hotline: 0919.067.055 - 0981.284.628
-
Cơ sở chính: Số 214 Tô Hiệu, Lê Chân, Hải Phòng
-
Hệ thống: 8 chi nhánh tại Hải Phòng, Hải Dương và cơ sở mới tại Hà Nội.



