Điều trị sâu răng tại Yenle Dental
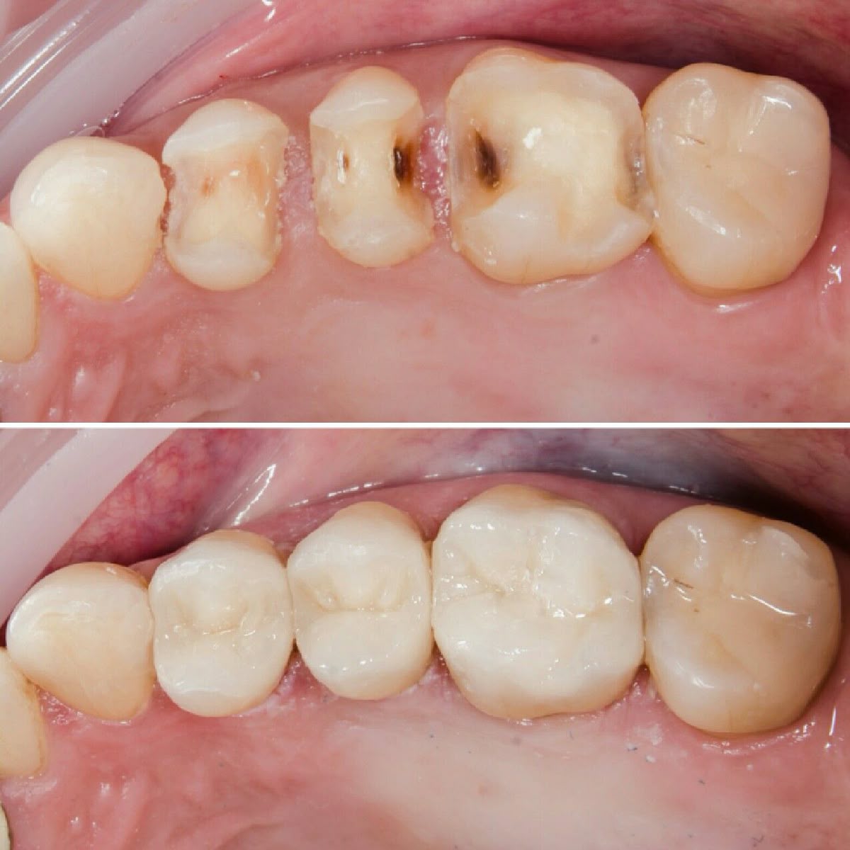
Sâu răng không chỉ là những vết đen nhỏ trên bề mặt răng mà là một quá trình hủy khoáng do vi khuẩn tấn công, có thể dẫn đến mất răng vĩnh viễn nếu không được xử lý kịp thời. Tại Yenle Dental, chúng tôi thấu hiểu nỗi lo lắng của khách hàng về những cơn đau buốt dai dẳng hay nỗi sợ phải nhổ bỏ răng thật.
Với hành trình 18 năm phụng sự và triết lý "Tư vấn đúng, đủ, có trách nhiệm", Yenle Dental cam kết mang đến giải pháp điều trị sâu răng nhẹ nhàng, an toàn và bền vững lâu dài. Chúng tôi không chỉ điều trị triệu chứng mà còn đồng hành cùng bạn chăm sóc sức khỏe răng miệng trọn đời.
.jpg)
Tại sao bạn không nên chủ quan với tình trạng sâu răng?
Nhiều người thường có tâm lý "đợi đau mới khám". Tuy nhiên, sâu răng diễn tiến âm thầm qua nhiều giai đoạn:
-
Sâu men răng: Giai đoạn sớm, thường không có triệu chứng rõ rệt, bác sĩ chỉ có thể phát hiện qua thăm khám chuyên sâu.
-
Sâu ngà răng: Bắt đầu cảm thấy ê buốt khi ăn đồ nóng, lạnh, ngọt hoặc chua.
-
Viêm tủy răng: Khi vi khuẩn xâm nhập vào buồng tủy gây đau nhức dữ dội, thậm chí thuốc giảm đau cũng không hiệu quả.
-
Áp xe răng: Biến chứng nhiễm trùng chóp răng, gây sưng mặt và có nguy cơ nhiễm trùng máu nguy hiểm.
Việc điều trị sâu răng sớm tại Yenle Dental giúp bạn tiết kiệm chi phí, thời gian và quan trọng nhất là bảo vệ được cấu trúc răng thật nguyên vẹn.
.jpg)
Sự khác biệt khi điều trị sâu răng tại Yenle Dental
Giữa hàng trăm cơ sở nha khoa, Yenle Dental vẫn là địa chỉ tin cậy của hàng nghìn gia đình tại Hải Phòng, Hải Dương và nay là Hà Nội nhờ những giá trị thực tế:
1. Đội ngũ bác sĩ tận tâm, không "vẽ bệnh"
Dẫn dắt bởi Bác sĩ Lê Yến với gần 20 năm kinh nghiệm, đội ngũ bác sĩ tại hệ thống luôn đặt y đức lên hàng đầu. Chúng tôi cam kết chẩn đoán chính xác mức độ sâu dựa trên phim X-quang, tuyệt đối không chỉ định các dịch vụ không cần thiết để tăng chi phí.
2. Công nghệ chẩn đoán hình ảnh hiện đại
Để "bóc tách" mọi vấn đề răng miệng, chúng tôi ứng dụng máy chụp X-quang cận chóp và CT Cone Beam 3D,. Công nghệ này giúp bác sĩ nhìn thấu độ sâu của lỗ hổng và tình trạng tủy răng, từ đó lên phác đồ điều trị chính xác đến từng milimet.
3. Quy trình vô trùng tuyệt đối chuẩn Y khoa
Yenle Dental sở hữu hệ thống hấp tiệt trùng dụng cụ và quy trình vô trùng khép kín, loại bỏ hoàn toàn nguy cơ lây nhiễm chéo giữa các bệnh nhân.
.png)
Quy trình điều trị sâu răng tiêu chuẩn tại Yenle Dental
Tại hệ thống của chúng tôi, mỗi ca điều trị đều tuân thủ nghiêm ngặt các bước của Bộ Y tế:
-
Thăm khám & Chụp phim: Bác sĩ kiểm tra tổng quát và chụp X-quang để xác định vị trí, mức độ sâu.
-
Vệ sinh & Gây tê: Làm sạch khoang miệng và gây tê tại chỗ giúp khách hàng hoàn toàn thoải mái, không đau đớn trong suốt quá trình.
-
Làm sạch lỗ sâu: Sử dụng thiết bị chuyên dụng để loại bỏ hoàn toàn mô răng bị nhiễm khuẩn và vi khuẩn gây bệnh.
-
Phục hồi hình dáng răng:
-
Với lỗ sâu nhỏ: Sử dụng vật liệu Composite cao cấp để hàn kín.
-
Với lỗ sâu lớn hoặc vỡ nặng: Bác sĩ sẽ tư vấn Bọc răng sứ để bảo vệ răng thật bền chắc hơn.
-
-
Tái khám & Hướng dẫn: Bác sĩ dặn dò cách vệ sinh và hẹn lịch kiểm tra định kỳ 6 tháng/lần để đảm bảo sức khỏe răng miệng.
Chi phí điều trị sâu răng minh bạch
Chúng tôi luôn công khai giá dịch vụ để khách hàng an tâm lựa chọn. Chi phí điều trị sâu răng phụ thuộc vào mức độ tổn thương của răng.
HỆ THỐNG NHA KHOA YENLE DENTAL
-
Hotline: 0919.067.055 - 0981.284.628
-
Hệ thống cơ sở: 8 chi nhánh tại Hải Phòng và Hà Nội.
-
Giờ làm việc: Sáng 8:00-12:00 | Chiều 14:00-20:00.
TRAO NỤ CƯỜI TỪ TRÁI TIM



