Dịch vụ Hàn Trám Răng tại Yenle Dental: Bảo vệ nụ cười từ những điều nhỏ nhất
Bạn có bao giờ cảm thấy ê buốt nhẹ khi uống một ngụm nước lạnh, hay vô tình soi gương thấy những vết đen li ti trên mặt nhai của răng? Đó có thể là những dấu hiệu sớm của sâu răng. Đừng để những lỗ sâu nhỏ trở thành cơn đau nhức dữ dội gây viêm tủy. Dịch vụ hàn trám răng tại Yenle Dental sẽ là giải pháp "cấp cứu" kịp thời, giúp bạn bảo tồn răng thật một cách tối đa với chi phí cực kỳ hợp lý.
Với hành trình hơn 18 năm kiến tạo nụ cười (từ 2008), Yenle Dental tự hào là hệ thống nha khoa uy tín tại Hải Phòng và Hà Nội, nơi mỗi ca điều trị đều được thực hiện bằng cả cái tâm của người thầy thuốc.
Hàn trám răng là gì và tại sao bạn cần thực hiện sớm?
Hàn trám răng (hay còn gọi là điều trị nội nha đơn giản) là kỹ thuật sử dụng vật liệu nha khoa chuyên dụng để bù đắp vào phần mô răng bị khuyết thiếu do sâu răng hoặc sứt mẻ.

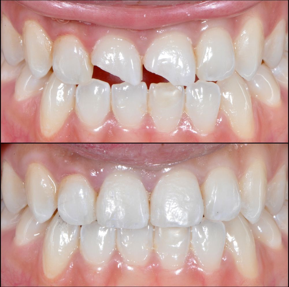
Hàn trám răng sâu hoặc thẩm mỹ
Việc hàn răng kịp thời mang lại những lợi ích thiết thực:
- Ngăn chặn sâu răng tiến triển: Loại bỏ ổ vi khuẩn và lấp kín lỗ hổng, bảo vệ ngà răng và tủy răng bên trong.
- Khôi phục chức năng ăn nhai: Giúp bạn thoải mái thưởng thức món ăn mà không lo giắt thức ăn hay ê buốt.
- Tính thẩm mỹ cao: Vật liệu trám hiện đại có màu sắc tương đồng 99% với răng thật, giúp bạn tự tin cười rạng rỡ.
Khi nào bạn nên đến Yenle Dental để hàn răng?
Dựa trên kinh nghiệm điều trị thực tế, các bác sĩ tại Yenle Dental khuyên bạn nên thực hiện hàn trám khi gặp các trường hợp sau:

Hàn trám răng Yenle Dental
- Sâu răng giai đoạn sớm: Xuất hiện các lỗ hổng màu nâu hoặc đen trên bề mặt răng.
- Răng bị sứt, mẻ: Do chấn thương hoặc thói quen nhai đồ cứng, làm ảnh hưởng đến hình dáng răng.
- Răng thưa nhẹ: Trám thẩm mỹ giúp đóng kín kẽ thưa giữa các răng cửa.
-
Thay thế miếng trám cũ: Khi miếng trám cũ bị bong, đổi màu hoặc không còn khít sát.
Tại sao khách hàng tin chọn dịch vụ hàn răng tại Yenle Dental?
Giữa hàng trăm nha khoa, Yenle Dental vẫn khẳng định vị thế nhờ triết lý "Tư vấn đúng, đủ, có trách nhiệm".
1. Đội ngũ bác sĩ giỏi và tận tâm
Mọi ca điều trị tại hệ thống đều được giám sát bởi đội ngũ bác sĩ chuyên môn cao, dẫn dắt bởi Bác sĩ Lê Yến – chuyên gia có gần 20 năm kinh nghiệm. Chúng tôi cam kết chẩn đoán chính xác tình trạng, tuyệt đối không "vẽ bệnh" để phát sinh chi phí không cần thiết.
2. Công nghệ hiện đại, vật liệu chính hãng
Yenle Dental sử dụng vật liệu trám Composite cao cấp nhập khẩu, có độ bền và tính tương thích sinh học tuyệt đối, không gây kích ứng nướu. Đặc biệt, quy trình vô trùng được thực hiện nghiêm ngặt theo tiêu chuẩn của Bộ Y tế, loại bỏ hoàn toàn nguy cơ lây nhiễm chéo.

Hàn trám răng tại Yenle Dental
3. Chi phí hợp lý, minh bạch
Chúng tôi hiểu rằng tài chính là điều khách hàng quan tâm. Giá dịch vụ hàn răng tại Yenle Dental luôn ở mức cạnh tranh. Đặc biệt, chúng tôi thường xuyên có các chương trình "Ngày vàng" hoặc ưu đãi trải nghiệm Hàn răng chỉ 99k tại các cơ sở để tri ân khách hàng.
Quy trình hàn trám răng "không đau" tại Yenle Dental
Chỉ mất khoảng 15 - 30 phút, bạn sẽ sở hữu ngay một chiếc răng khỏe đẹp nhờ quy trình chuẩn y khoa:
- Bước 1: Thăm khám và tư vấn trực tiếp để xác định mức độ hư hại của răng.
- Bước 2: Làm sạch lỗ sâu, loại bỏ hoàn toàn các mô răng bị nhiễm khuẩn.
- Bước 3: Sử dụng vật liệu trám chuyên dụng để lấp đầy khoảng trống và tạo hình răng thẩm mỹ.
- Bước 4: Chiếu đèn Halogen/LED để làm cứng miếng trám và đánh bóng để răng mịn màng tự nhiên.
Lời khuyên từ chuyên gia sau khi hàn răng
Để miếng trám bền chắc theo thời gian, bạn đừng quên:
- Hạn chế ăn đồ quá cứng, quá dai hoặc quá nóng/lạnh trong 24 giờ đầu.
- Duy trì thói quen đánh răng ít nhất 2 lần/ngày và sử dụng chỉ nha khoa sau mỗi bữa ăn.
- Tái khám định kỳ mỗi 6 tháng để bác sĩ kiểm tra độ bền của miếng trám và vệ sinh răng miệng tổng quát.
Yenle Dental mong muốn không chỉ là nơi bạn đến điều trị răng, mà còn là người đồng hành chăm sóc sức khỏe răng miệng trọn đời cho bạn và gia đình.
Đừng để những cơn đau răng làm phiền cuộc sống của bạn! Hãy để lại thông tin hoặc inbox ngay cho chúng tôi để được bác sĩ tư vấn miễn phí.
HỆ THỐNG NHA KHOA YENLE DENTAL
- Hotline: 0919.067.055 - 0981.284.628
- Địa chỉ: 8 cơ sở tại Hải Phòng và Hà Nội.
- Giờ làm việc: Sáng: 8:00 - 12:00 | Chiều: 14:00 - 20:00.
Trao nụ cười từ trái tim!



