Tóm tắt nội dung [Ẩn]
- Thực trạng quảng cáo làm răng giá rẻ hiện nay trên thị trường
- Rủi ro làm răng giá rẻ: Những biến chứng "ngầm" nguy hiểm
- Hậu quả làm răng giá rẻ đối với sức khỏe lâu dài
- Làm thế nào để nhận diện một nha khoa uy tín?
- YenLe Dental: 17 năm kiến tạo nụ cười khỏe đẹp bền vững tại Hải Phòng
- Lưu ý
- Câu hỏi thường gặp (FAQ)
Nhu cầu tân trang nụ cười để tự tin hơn trong giao tiếp đang ngày càng tăng cao, dẫn đến sự bùng nổ của các lời chào mời làm răng giá rẻ tràn lan trên mạng xã hội. Với những tiêu đề hấp dẫn như "bọc răng sứ trọn gói chỉ vài triệu đồng" hay "trồng răng Implant giá cực sốc", không ít người đã vội vàng tin tưởng mà bỏ qua những cảnh báo về chất lượng. Tuy nhiên, trong lĩnh vực y khoa nói chung và nha khoa nói riêng, "giá rẻ" thường đi đôi với những hiểm họa tiềm ẩn về sức khỏe mà đôi khi tiền bạc cũng không thể cứu vãn được.
Tại hệ thống YenLe Dental - đơn vị nha khoa uy tín với hành trình 17 năm tại Hải Phòng, chúng tôi đã tiếp nhận không ít các biến chứng nặng nề do khách hàng từng lựa chọn các cơ sở thiếu chuyên môn. Việc hiểu rõ bản chất của các dịch vụ làm răng giá rẻ là vô cùng quan trọng để bảo vệ chính mình. Bài viết này sẽ phân tích chi tiết những rủi ro, hậu quả làm răng giá rẻ và cách để bạn tìm thấy một địa chỉ chăm sóc răng miệng thực sự an toàn và bền vững.

Hậu quả làm răng sứ giá rẻ
Thực trạng quảng cáo làm răng giá rẻ hiện nay trên thị trường
Hiện nay, chỉ cần một thao tác tìm kiếm đơn giản, bạn sẽ thấy hàng loạt cơ sở nha khoa quảng bá dịch vụ làm răng giá rẻ với mức chiết khấu lên đến 50-70%. Các quảng cáo này thường tập trung vào tệp khách hàng sinh viên, người lao động hoặc những người có thu nhập chưa cao, đánh trúng tâm lý muốn đẹp nhưng ngại chi phí đắt đỏ...
Tuy nhiên, sự thật đằng sau những con số "trong mơ" đó thường là sự cắt giảm tối đa chi phí vận hành. Điều này bao gồm việc sử dụng vật liệu trôi nổi không rõ nguồn gốc, cắt bớt quy trình thăm khám hoặc sử dụng đội ngũ kỹ thuật viên thay vì bác sĩ có chuyên môn thực thụ. Tại các cơ sở không đảm bảo, việc làm răng giá rẻ chỉ chú trọng vào vẻ ngoài tạm thời mà phớt lờ các nguyên tắc y khoa về khớp cắn và vô trùng.
Rủi ro làm răng giá rẻ: Những biến chứng "ngầm" nguy hiểm
Nhiều người lầm tưởng rằng làm răng chỉ là vấn đề thẩm mỹ bên ngoài, nhưng thực tế nó ảnh hưởng trực tiếp đến hệ thần kinh, xương hàm và chức năng ăn nhai trọn đời. Dưới đây là những rủi ro làm răng giá rẻ mà khách hàng thường gặp phải:
Vật liệu kém chất lượng gây kích ứng
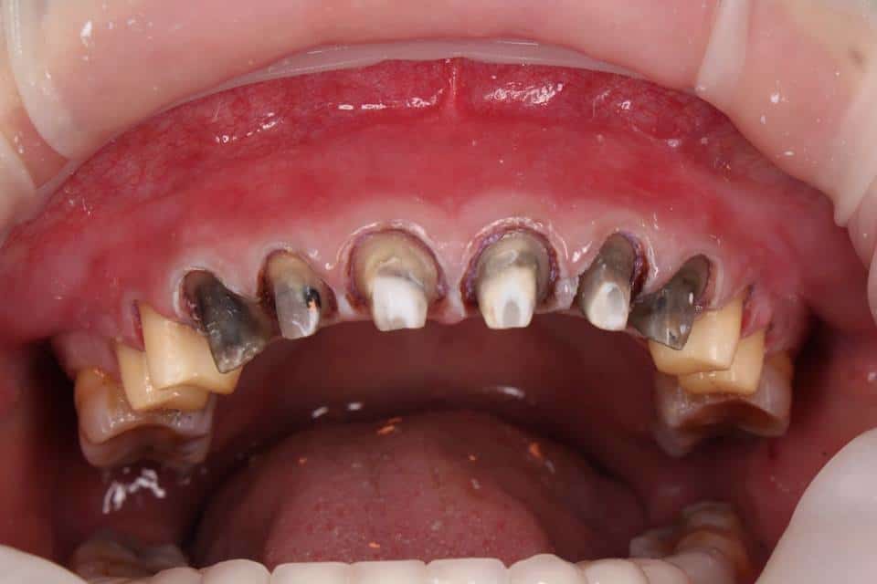
Các loại răng sứ giá rẻ thường chứa thành phần kim loại không đạt chuẩn y tế. Sau một thời gian ngắn sử dụng, chúng dễ bị oxy hóa trong môi trường miệng, gây đen viền nướu và hôi miệng trầm trọng. Nặng hơn, khách hàng có thể bị viêm nướu, dị ứng vật liệu dẫn đến sưng đau kéo dài.

Hậu quả làm răng sứ giá rẻ
Quy trình thực hiện sai kỹ thuật
Tại các cơ sở nha khoa thiếu uy tín, bác sĩ thường mài răng quá đà để lắp sứ nhanh, dẫn đến hỏng tủy răng. Đối với dịch vụ Implant, việc đặt trụ sai vị trí do thiếu máy móc chẩn đoán hình ảnh (như máy CT Cone Beam) có thể gây tổn thương dây thần kinh hoặc làm trụ bị đào thải chỉ sau vài tháng.
Mầm mống của các bệnh lý lây nhiễm
Việc cắt giảm chi phí để có mức làm răng giá rẻ thường kéo theo hệ thống vô trùng kém chất lượng. Đây là môi trường lý tưởng để lây nhiễm chéo các bệnh nguy hiểm giữa các bệnh nhân qua dụng cụ không được khử khuẩn đúng cách.
Hậu quả làm răng giá rẻ đối với sức khỏe lâu dài
Đừng để nụ cười tạm thời đánh lừa bạn, vì hậu quả làm răng giá rẻ có thể kéo dài suốt nhiều năm về sau, gây thiệt hại lớn về cả tài chính lẫn sức khỏe tinh thần.
- Viêm quanh răng và mất răng thật: Một trong những "chiếc bẫy" khiến bạn mất răng thật chính là răng sứ hoặc Implant giá rẻ. Khi cấu trúc phục hình không khít sát, thức ăn bị giắt lại tạo ổ vi khuẩn, phá hủy xương ổ răng và làm răng thật bị lung lay.
- Rối loạn khớp thái dương hàm: Khi răng được làm không chuẩn khớp cắn, lực nhai sẽ phân bổ không đều. Điều này dẫn đến tình trạng mỏi hàm, đau nhức vùng thái dương và thậm chí là lệch mặt vĩnh viễn.
- Chi phí khắc phục gấp nhiều lần: Việc phải tháo bỏ răng sứ hỏng hoặc xử lý trụ Implant bị đào thải tốn kém hơn rất nhiều so với việc thực hiện tại một nha khoa uy tín ngay từ đầu. Bạn sẽ phải đối mặt với các ca phẫu thuật ghép xương, điều trị tủy phức tạp để cứu vãn tình hình.
Làm thế nào để nhận diện một nha khoa uy tín?
Giữa "ma trận" quảng cáo, việc chọn đúng nơi gửi gắm nụ cười là quyết định mang tính đầu tư cho tương lai. Một nha khoa uy tín không nhất thiết phải có giá đắt nhất, nhưng phải đảm bảo các tiêu chí vàng sau đây:

Hậu quả làm răng sứ giá rẻ
1. Đội ngũ bác sĩ chuyên khoa giỏi
Bác sĩ là linh hồn của mọi ca điều trị. Một địa chỉ đáng tin cậy phải có đội ngũ bác sĩ được đào tạo bài bản, có chứng chỉ hành nghề và kinh nghiệm thực tế phong phú. Ví dụ, tại YenLe Dental, Giám đốc hệ thống là Bác sĩ Lê Yến với gần 20 năm kinh nghiệm, đã điều trị thành công hơn 3000 ca chỉnh nha và 2000 ca Implant
.jpg)
Yenle Dental - địa chỉ làm răng sứ uy tín tại Hải Phòng
2. Hệ thống trang thiết bị công nghệ cao
Nha khoa hiện đại không thể thiếu sự hỗ trợ của máy móc để chẩn đoán chính xác. Hãy ưu tiên các cơ sở sở hữu:
- Máy chụp CT Cone Beam 3D để thấy rõ cấu trúc xương hàm
- Máy quét iTero Element 5D giúp xem trước kết quả điều trị
- Công nghệ Piezotome hỗ trợ nhổ răng và phẫu thuật không đau
3. Quy trình vô trùng tuyệt đối
Một nha khoa uy tín phải công khai quy trình vô trùng dụng cụ theo chuẩn y khoa của Đức hoặc các nước tiên tiến để ngăn chặn nguy cơ nhiễm trùng chéo cho khách hàng...
YenLe Dental: 17 năm kiến tạo nụ cười khỏe đẹp bền vững tại Hải Phòng
Thay vì chạy theo xu hướng làm răng giá rẻ, YenLe Dental (tiền thân là Nha khoa Hoàn Mỹ thành lập từ 2008) kiên trì với triết lý: "Tư vấn đúng, đủ, có trách nhiệm và mang lại lợi ích bền vững lâu dài". Chúng tôi tin rằng mỗi nụ cười là một tác phẩm nghệ thuật cần sự chăm chút tỉ mỉ từ tâm hồn đến kỹ thuật.
.jpg)
Yenle Dental - địa chỉ làm răng sứ uy tín tại Hải Phòng
Triết lý "Trao nụ cười từ trái tim"
Tại 8 cơ sở của hệ thống, chúng tôi không chỉ điều trị răng mà còn đồng hành đưa ra các kiến thức chăm sóc sức khỏe răng miệng trọn đời. Mọi khách hàng đều được bác sĩ thăm khám trực tiếp, phân tích kỹ lưỡng phim chụp và lập phác đồ cá nhân hóa dựa trên sự an toàn tuyệt đối.
Chi phí hợp lý dựa trên giá trị thật
YenLe Dental hiểu rằng tài chính là một rào cản lớn. Tuy nhiên, thay vì giảm chất lượng vật liệu để làm răng giá rẻ, chúng tôi hỗ trợ khách hàng bằng các gói trả góp 0% linh hoạt. Điều này giúp bạn tiếp cận dịch vụ cao cấp (như trụ Implant Straumann Thụy Sĩ hay sứ Lava Mỹ) mà không gặp áp lực về tiền bạc.
Lưu ý
Đừng bao giờ đặt cược sức khỏe của bản thân vào những dịch vụ làm răng giá rẻ tại các cơ sở không có giấy phép hoặc thiếu minh bạch. Hãy nhớ rằng, răng là bộ phận không thể tự tái tạo. Một khi đã bị hỏng do can thiệp sai cách, hành trình phục hồi sẽ vô cùng gian nan.
Trước khi quyết định thực hiện bất kỳ thủ thuật nha khoa nào, bạn hãy:
- Đến trực tiếp phòng khám để kiểm tra cơ sở vật chất.
- Yêu cầu được xem giấy phép hoạt động và chứng chỉ của bác sĩ điều trị.
- Tham khảo các case thực tế (Before/After) của khách hàng cũ để đánh giá gu thẩm mỹ.
- Đừng ngại hỏi kỹ về nguồn gốc xuất xứ của vật liệu và chính sách bảo hành lâu dài.
Câu hỏi thường gặp (FAQ)
1. Tại sao nha khoa uy tín lại có giá cao hơn các phòng khám nhỏ lẻ? Nha khoa uy tín đầu tư rất lớn vào hệ thống vô trùng, công nghệ máy móc nhập khẩu và vật liệu chính hãng có thẻ bảo hành từ nhà sản xuất. Bên cạnh đó, chi phí này còn bao gồm trách nhiệm chuyên môn của các bác sĩ giỏi có thâm niên hàng chục năm.
2. Làm răng giá rẻ có bao giờ đạt kết quả tốt không? Trong một số chương trình ưu đãi, tri ân tại nha khoa uy tín (như giảm giá 30-40% cho nữ giới dịp 8/3 tại YenLe Dental), bạn vẫn có thể nhận được dịch vụ chất lượng với giá tốt. Tuy nhiên, cần phân biệt rõ giữa "ưu đãi từ nơi uy tín" và "giá rẻ tại nơi kém chất lượng".
3. Làm sao biết vật liệu răng sứ của mình có phải hàng "dỏm" hay không? Răng sứ chính hãng luôn đi kèm thẻ bảo hành có mã QR để bạn truy xuất nguồn gốc. Các loại sứ kém chất lượng thường không có giấy tờ này và nướu của bạn sẽ có dấu hiệu bị thâm đen hoặc viêm tấy sau vài tháng sử dụng.
4. Nếu tôi lỡ làm răng hỏng tại cơ sở giá rẻ, tôi nên làm gì? Bạn cần tìm đến các chuyên gia tại các hệ thống lớn để được chụp phim CT kiểm tra mức độ tổn thương chân răng và xương hàm ngay lập tức. Tránh để lâu khiến viêm nhiễm lan rộng, gây rụng răng hàng loạt.
5. YenLe Dental có chính sách gì hỗ trợ khách hàng về tài chính? Hệ thống triển khai chương trình "Làm răng trước - Trả tiền sau" với các gói trả góp 0% lãi suất. Đặc biệt, chúng tôi có các buổi khám răng miễn phí trị giá tới 2 triệu đồng vào các "Ngày vàng" để giúp mọi người dân đều có cơ hội chăm sóc răng miệng định kỳ.
Liên hệ ngay để nhận tư vấn miễn phí:
Hotline: 0981.284.628 - 0919.067.055
Website: yenledental.com



