Tóm tắt nội dung [Ẩn]
Niềng răng là một hành trình dài đòi hỏi sự kiên trì và đầu tư không nhỏ về cả thời gian lẫn tài chính. Tuy nhiên, không ít trường hợp vì lựa chọn nha khoa kém chất lượng hoặc phác đồ điều trị sai cách mà dẫn đến tình trạng niềng răng hỏng. Điều này không chỉ gây mất thẩm mỹ mà còn để lại những biến chứng niềng răng nghiêm trọng, ảnh hưởng trực tiếp đến sức khỏe ăn nhai và cấu trúc gương mặt.
Bài viết dưới đây sẽ giúp bạn nhận diện sớm các dấu hiệu hỏng và tìm được bác sĩ niềng răng uy tín để kịp thời khắc phục.
.jpg)
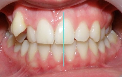
Các dấu hiệu cảnh báo niềng răng hỏng
Các dấu hiệu cảnh báo niềng răng hỏng bạn cần biết
Việc nhận biết sớm tình trạng niềng răng hỏng là yếu tố then chốt để bảo tồn răng thật. Dưới đây là những dấu hiệu điển hình:
1. Răng bị lung lay hoặc tiêu chân răng
Đây là một trong những biến chứng niềng răng nguy hiểm nhất. Nếu bác sĩ sử dụng lực kéo quá mạnh hoặc không kiểm soát được mật độ xương hàm, chân răng có thể bị ngắn lại (tiêu chân răng) khiến răng trở nên lung lay, thậm chí có nguy cơ mất răng vĩnh viễn.

Các dấu hiệu cảnh báo niềng răng hỏng
2. Lệch đường giữa và mất cân đối khuôn mặt
Sau một thời gian niềng, nếu bạn nhận thấy đường giữa của hai hàm răng không thẳng hàng với nhân trung, hoặc gương mặt bị lệch sang một bên, đó là dấu hiệu của một phác đồ điều trị sai lệch. Tình trạng này nếu không được sửa lại răng niềng kịp thời có thể dẫn đến rối loạn khớp thái dương hàm, gây đau nhức vùng tai và đầu.

Các dấu hiệu cảnh báo niềng răng hỏng
3. Tụt lợi, hở chân răng và hôi miệng kéo dài
Việc gắn mắc cài sai kỹ thuật hoặc vệ sinh kém trong quá trình niềng dẫn đến viêm nha chu nặng, tụt lợi làm lộ chân răng. Điều này không chỉ gây ê buốt mà còn tích tụ vi khuẩn gây hôi miệng trầm trọng.

Các dấu hiệu cảnh báo niềng răng hỏng
4. Tình trạng hóp má, thái dương lõm sâu
Nhiều khách hàng gặp phải tình trạng "hóp má" khi niềng răng do mất cân bằng khớp cắn hoặc chế độ ăn uống thiếu hụt vì đau nhức kéo dài. Nếu không có sự điều chỉnh từ bác sĩ niềng răng uy tín, khuôn mặt bạn sẽ trông già nua và thiếu sức sống.

Các dấu hiệu cảnh báo niềng răng hỏng
Địa chỉ "cứu cánh" niềng răng uy tín Hải Phòng
Nếu bạn đang lo lắng về kết quả chỉnh nha hiện tại, YenLe Dental (tiền thân là Nha khoa Hoàn Mỹ) chính là điểm đến tin cậy để tìm lại nụ cười hoàn hảo.

Niềng răng uy tín Hải Phòng - Yenle Dental
Đội ngũ bác sĩ hơn 20 năm kinh nghiệm
Dẫn dắt bởi Bác sĩ Lê Yến - chuyên gia hàng đầu đã điều trị thành công hơn 3.000 ca chỉnh nha. Với triết lý "Tư vấn đúng, đủ, có trách nhiệm", bác sĩ sẽ trực tiếp thăm khám, bóc tách nguyên nhân gây hỏng và lập phác đồ sửa lại răng niềng cá nhân hóa, đảm bảo an toàn và bền vững.
Công nghệ chẩn đoán hiện đại
Để xử lý các ca niềng răng hỏng, việc chẩn đoán hình ảnh là cực kỳ quan trọng. Tại YenLe Dental, chúng tôi ứng dụng:
-
Máy chụp CT Cone Beam 3D: Giúp kiểm tra chính xác mật độ xương và tình trạng chân răng bị tiêu biến.
.jpg)
-
Máy quét iTero Element 5D: Công nghệ AI cho phép khách hàng xem trước kết quả sau khi sửa lại răng chỉ sau 60 giây quét.
.jpg)
Câu hỏi thường gặp về sửa lại răng niềng (FAQ)
1. Sửa lại răng niềng có tốn thời gian hơn lần đầu không? Thông thường, các ca chỉnh sửa lại đòi hỏi kỹ thuật phức tạp hơn nên thời gian có thể kéo dài từ 18 - 24 tháng tùy tình trạng hư tổn của chân răng và xương hàm.
2. Niềng răng hỏng có gây hỏng tủy răng không? Có. Nếu lực siết quá mạnh hoặc răng dịch chuyển sai lộ trình có thể gây sang chấn, dẫn đến viêm tủy răng.
3. Tại sao nên chọn niềng răng uy tín Hải Phòng tại YenLe Dental? Vì chúng tôi có 17 năm kinh nghiệm, sở hữu công nghệ iTero 5D tiên tiến nhất và đội ngũ bác sĩ luôn đồng hành 24/7 cùng khách hàng.
4. Chi phí sửa lại răng niềng hỏng là bao nhiêu? Chi phí sẽ phụ thuộc vào mức độ biến chứng. Bạn nên đến trực tiếp các cơ sở của YenLe Dental để được chụp phim CT và tư vấn lộ trình khắc phục miễn phí.
5. Có nên tiếp tục niềng tại nha khoa cũ nếu thấy dấu hiệu hỏng? Nếu nha khoa cũ không đưa ra được giải pháp khắc phục bằng hình ảnh chẩn đoán rõ ràng, bạn nên tìm đến một bác sĩ niềng răng uy tín khác để có góc nhìn chuyên môn thứ hai nhằm bảo vệ hàm răng của mình.
Liên hệ ngay để nhận tư vấn miễn phí:
Hotline: 0981.284.628 - 0919.067.055
Website: yenledental.com



