Menu

Trao nụ cười từ trái tim

Hotline 1 0919067055

Hotline 2 0981 284 628

Niềng Răng Mặt Trong Có Tốt Không? Những Lưu Ý Khi Lựa Chọn

Bên cạnh khay trong suốt Invisalign, niềng răng mặt trong đang nổi lên như một kỹ thuật đỉnh cao, mang lại hiệu quả nắn chỉnh tuyệt đối mà không ai có thể phát hiện ra.
Tuy nhiên, với kỹ thuật thi công cực kỳ phức tạp, nhiều người vẫn hoang mang không biết niềng răng mặt trong có tốt không, có gây đau đớn hay ảnh hưởng đến giọng nói không? Trong bài viết dưới đây, Yenle Dental sẽ giúp bạn bóc tách từ A-Z về phương pháp này, giúp bạn có cái nhìn khách quan nhất trước khi đưa ra quyết định!

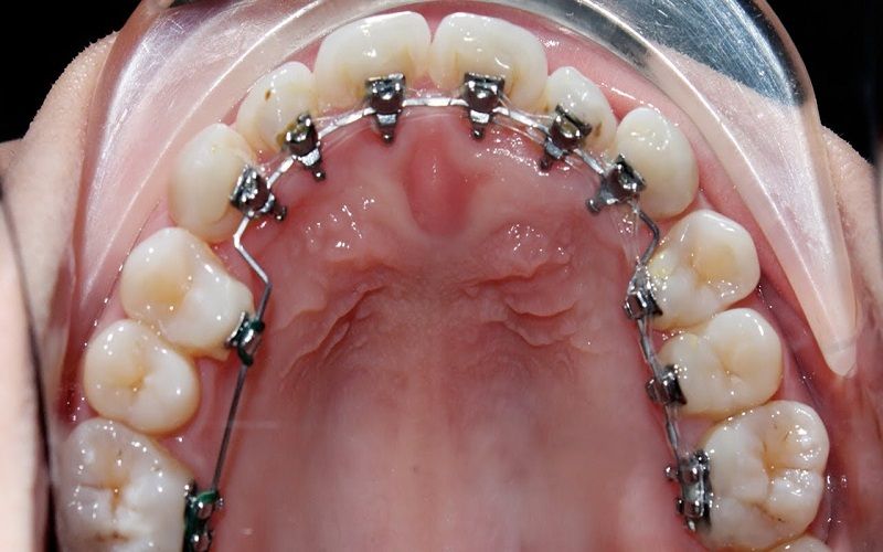
Bản Chất Y Khoa: Niềng Răng Mặt Trong Là Gì?

Niềng răng mặt trong (hay còn gọi là niềng răng mặt lưỡi - Lingual Braces) là một kỹ thuật chỉnh nha vô hình tiên tiến bậc nhất hiện nay. Về mặt nguyên lý cơ học, phương pháp này vẫn sử dụng hệ thống bao gồm các hạt mắc cài, dây cung và thun buộc để tạo ra lực siết, giúp dịch chuyển các răng xô lệch về đúng vị trí chuẩn trên cung hàm.
niềng răng mặt trong
Điểm đột phá và cũng là yếu tố tạo nên tên tuổi của phương pháp này chính là vị trí đặt khí cụ. Thay vì dán mắc cài ở mặt ngoài (mặt tiền) của răng như truyền thống, toàn bộ hệ thống khí cụ sẽ được bác sĩ khéo léo dán cố định vào mặt trong của răng (phần tiếp xúc trực tiếp với lưỡi và vòm miệng).
Nhờ vị trí "ẩn nấp" độc đáo này, phương pháp mang lại sự tự tin tuyệt đối cho người sử dụng trong suốt quá trình điều trị.

Niềng Răng Mặt Trong Khác Gì Phương Pháp Thông Thường?

Nếu nhìn lướt qua, chức năng của hai phương pháp là hoàn toàn giống nhau. Tuy nhiên, dưới góc độ chuyên môn y khoa, niềng răng mặt trong có sự khác biệt một trời một vực so với mắc cài mặt ngoài:
  • Về mặt thẩm mỹ: Đây là sự khác biệt dễ nhận thấy nhất. Mắc cài mặt ngoài phô bày toàn bộ khí cụ khi bạn giao tiếp. Ngược lại, mắc cài mặt lưỡi giấu kín hoàn toàn 100% khí cụ, mang lại hiệu ứng "tàng hình" vượt trội hơn cả mắc cài sứ.
  • Mức độ phức tạp của kỹ thuật: Mặt trong của răng có diện tích rất nhỏ, hình dáng gồ ghề và bị che khuất tầm nhìn, không bằng phẳng như mặt ngoài. Do đó, việc dán mắc cài, đi dây cung và thay thun ở mặt trong là một thách thức cực đại. Nó đòi hỏi bác sĩ phải có trình độ chuyên môn đặc biệt xuất sắc và sự khéo léo đến từng milimet.
  • Khí cụ được thiết kế cá nhân hóa: Nếu mắc cài mặt ngoài có thể dùng chung kích cỡ, thì các hạt mắc cài mặt lưỡi thường phải được đúc riêng biệt cho từng chiếc răng của mỗi khách hàng dựa trên dấu hàm 3D để đảm bảo độ khít sát và mỏng nhẹ nhất.

Ưu - Nhược Điểm Của Niềng Răng Mặt Trong

Để có câu trả lời chính xác cho thắc mắc phương pháp này có thực sự tốt không, chúng ta cần phân tích khách quan cả hai mặt ưu và nhược điểm.
Ưu nhược điểm của phương pháp niềng răng mặt trong

Ưu điểm vượt trội của niềng răng mặt trong

  • Thẩm mỹ đạt điểm 10 tuyệt đối: Không ai có thể biết bạn đang chỉnh nha trừ khi bạn chủ động nói ra. Bạn hoàn toàn tự do cười nói, chụp ảnh và tỏa sáng ở mọi góc nhìn.
  • Bảo vệ toàn vẹn men răng mặt ngoài: Khi kết thúc quá trình niềng, việc tháo mắc cài đôi khi có thể để lại những vết đốm trắng khử khoáng. Việc dán khí cụ ở mặt trong giúp bề mặt men răng "mặt tiền" của bạn luôn được giữ gìn nguyên vẹn, sáng bóng.
  • Tránh tổn thương môi và má ngoài: Với mắc cài thông thường, các va chạm khi chơi thể thao rất dễ làm mắc cài đâm rách môi, má. Chỉnh nha mặt lưỡi loại bỏ hoàn toàn rủi ro này.

Nhược điểm niềng răng mặt trong

  • Sự cộm vướng và tổn thương lưỡi: Trong 1-2 tuần đầu tiên, lưỡi của bạn sẽ liên tục cọ xát vào các hạt mắc cài kim loại sắc nhọn, dễ gây ra tình trạng xước xát, nhiệt miệng và khó chịu tột độ.
  • Ảnh hưởng đến phát âm: Khí cụ nằm ở mặt lưỡi làm thu hẹp không gian cử động của lưỡi. Khách hàng thường sẽ bị nói ngọng, phát âm không rõ chữ (đặc biệt là các âm "s", "th", "tr") trong thời gian đầu làm quen.
  • Khó khăn cực độ trong việc vệ sinh: Mặt trong răng vốn đã là "góc chết" khó làm sạch. Có thêm mắc cài khiến việc đánh răng lấy mảng bám trở thành một cuộc chiến thực sự, nguy cơ cao hình thành cao răng và viêm nướu nếu bạn lơ là.
  • Chi phí cực kỳ đắt đỏ: Do độ khó của kỹ thuật và vật liệu cá nhân hóa, giá của phương pháp này cao gấp 2 đến 3 lần so với mắc cài kim loại thông thường (dao động từ 80 - 120 triệu đồng), ngang ngửa với công nghệ Invisalign.

Ai Nên Niềng Răng Mặt Trong?

Với những đặc tính kể trên, niềng răng mặt trong không phải là phương pháp dành cho tất cả mọi người (đặc biệt không khuyến khích cho trẻ em). Các chuyên gia thường ưu tiên chỉ định phương pháp này cho những nhóm đối tượng sau:
  • Người có yêu cầu thẩm mỹ khắt khe tuyệt đối: Diễn viên, ca sĩ, MC truyền hình, tiếp viên hàng không hay những doanh nhân thường xuyên phải đàm phán, giao tiếp trước công chúng.
  • Vận động viên thể thao đối kháng: Những người chơi võ thuật, quyền anh, bóng bầu dục... để tránh tình trạng chấn thương rách môi khi có va đập mạnh vào vùng mặt.
  • Nhạc công thổi sáo, kèn: Việc không có khí cụ ở mặt ngoài giúp họ dễ dàng đặt môi và điều chỉnh luồng hơi khi chơi nhạc cụ.

3 Lưu Ý Khi Lựa Chọn Niềng Răng Mặt Trong

Nếu bạn đã quyết tâm theo đuổi phương pháp tàng hình đỉnh cao này, hãy "bỏ túi" ngay 3 lưu ý quan trọng dưới đây để hành trình làm đẹp diễn ra suôn sẻ và an toàn nhất:
 
Lưu ý khi niềng răng mặt trong
  • Đầu tư trang thiết bị vệ sinh chuyên dụng: Bạn không thể chỉ dùng bàn chải thông thường. Bắt buộc phải sắm ngay máy tăm nước, bàn chải kẽ và chỉ nha khoa Super Floss. Bạn phải kiên nhẫn làm sạch từng ngóc ngách mặt trong sau mỗi bữa ăn để tránh viêm nha chu.
  • Tập luyện phát âm và chuẩn bị sáp nha khoa: Hãy mua sẵn nhiều hộp sáp nha khoa để bọc lại các góc mắc cài sắc bén, cứu nguy cho chiếc lưỡi của bạn. Đồng thời, hãy dành thời gian tập đọc sách thành tiếng mỗi ngày để lưỡi nhanh chóng thích nghi và phát âm tròn vành rõ chữ trở lại.
  • Lựa chọn hệ thống nha khoa uy tín bậc nhất: Đây là yếu tố quyết định thành bại của ca niềng. Kỹ thuật này không dành cho bác sĩ "tay ngang". Tại Hải Phòng, hệ thống nha khoa Yenle Dental tự hào là số ít đơn vị đủ năng lực và công nghệ để thực hiện các ca chỉnh nha mặt lưỡi phức tạp.
Sở hữu mạng lưới 8 cơ sở hiện đại, Yenle Dental trang bị đầy đủ máy quét dấu hàm iTero 5D và máy chụp Conebeam CT 3D. Mọi thao tác đều được tính toán bằng phần mềm AI, kết hợp cùng đôi bàn tay tài hoa của đội ngũ chuyên gia Răng Hàm Mặt hơn 20 năm kinh nghiệm, cam kết mang đến cho bạn lộ trình điều trị an toàn, chính xác và hiệu quả vượt trội.

Câu Hỏi Thường Gặp (FAQs)

1. Niềng răng mặt trong có đau hơn mặt ngoài nhiều không?
Thực tế, cảm giác ê tức ở chân răng do lực siết của dây cung là tương đương nhau ở cả hai phương pháp. Sự khó chịu chủ yếu đến từ việc lưỡi liên tục bị cọ xát vào mắc cài gây xước và loét. Cảm giác này sẽ giảm dần sau khoảng 2-3 tuần khi niêm mạc lưỡi đã quen và chai sạn hơn.
2. Thời gian niềng răng mặt trong có lâu hơn bình thường không?
Thời gian nắn chỉnh thường tương đương hoặc lâu hơn một chút (khoảng vài tháng) so với mắc cài mặt ngoài. Nguyên nhân là do khoảng cách giữa các mắc cài ở mặt trong ngắn hơn, dây cung cứng hơn nên lực kéo cần được kiểm soát nhẹ nhàng và từ từ để tránh rủi ro.
3. Tại sao giá niềng răng mặt trong lại đắt ngang với Invisalign?
Sự đắt đỏ đến từ hai yếu tố: Kỹ thuật đòi hỏi bác sĩ phải trải qua các khóa đào tạo cực kỳ chuyên sâu và tiêu tốn nhiều thời gian, công sức hơn trong mỗi lần tái khám. Thứ hai, hệ thống khí cụ mặt lưỡi (như của hãng Incognito) thường phải được đúc khuôn bằng hợp kim vàng cá nhân hóa tại nước ngoài và gửi về Việt Nam.
4. Ăn uống khi đeo mắc cài mặt lưỡi có gặp khó khăn gì không?
Khó khăn lớn nhất là việc thức ăn rất dễ bị mắc kẹt ở mặt trong mà bạn không nhìn thấy được. Bạn tuyệt đối phải cắt nhỏ thức ăn, ăn đồ mềm và tránh xa các loại đồ ăn dính, dai, cứng để không làm bung tuột hạt mắc cài (việc gắn lại mắc cài mặt trong khó hơn rất nhiều).
5. Tôi bị hô nặng thì có áp dụng niềng răng mặt lưỡi được không?
Hoàn toàn có thể. Mặc dù ở mặt trong, hệ thống mắc cài vẫn tạo ra lực kéo sinh cơ học rất mạnh mẽ, đủ sức đánh lún và kéo lùi khối răng cửa để điều trị triệt để các ca hô, móm hay khấp khểnh nặng. Bạn hãy đến Yenle Dental để bác sĩ chụp phim 3D và tư vấn phác đồ chi tiết nhé.

Đặt lịch ngay hôm nay


Bài viết liên quan
Giai Đoạn Xấu Nhất Khi Niềng Răng Phải Làm Sao?
Giai Đoạn Xấu Nhất Khi Niềng Răng Phải Làm Sao?
Giai đoạn xấu nhất khi niềng răng là khi nào? Đây là thời điểm khiến nhiều người cảm thấy khó chịu và muốn bỏ cuộc. Cùng Yenle Dental tìm hiểu cách vượt qua giai đoạn này một cách dễ dàng và hiệu quả hơn.

Niềng Răng Có Đau Không? Cách Giảm Đau Khi Niềng Hiệu Quả
Niềng Răng Có Đau Không? Cách Giảm Đau Khi Niềng Hiệu Quả
Niềng răng có đau không? Khám phá 5 mẹo giảm đau nhanh chóng, hiệu quả giúp bạn dễ chịu hơn trong suốt quá trình chỉnh nha.

Niềng Răng Cho Trẻ Em Có Nên Hay Không? Những Lưu Ý Cha Mẹ Cần Biết
Niềng Răng Cho Trẻ Em Có Nên Hay Không? Những Lưu Ý Cha Mẹ Cần Biết
Có nên niềng răng cho trẻ em không? Khám phá độ tuổi vàng, quy trình chuẩn y khoa và bí quyết chăm sóc giúp trẻ niềng răng không đau tại Yenle Dental.

Xem thêm:

Đặt lịch tư vấn

ngay hôm nay

Hệ thống YenLe Dental
YenLe Dental

YENLE DENTAL NHA KHOA HOÀN MỸ - CƠ SỞ 1

Địa chỉ: Số 214 Tô Hiệu, Phường Trại Cau, Quận Lê Chân, Thành Phố Hải Phòng

Điện thoại: 0981.284.628 - 0919.067.055 

Email: nhakhoahoanmyhp@gmail.com

Giấy phép hoạt động khám bệnh, chữa bệnh: 

Số 000436/HP-GPHĐ do Sở Y tế cấp lần 1 ngày 07/11/2022

YenLe Dental

NHA KHOA HOÀN MỸ - THƯƠNG HIỆU MỚI NHA KHOA YENLE DENTAL - CƠ SỞ 2

Địa chỉ: Số 118 Tô Hiệu, Phường Trại Cau, Quận Lê Chân, Thành Phố Hải Phòng

Điện thoại: 0981.284.628 - 0919.067.055

Email: nhakhoahoanmyhp@gmail.com

Giấy phép hoạt động khám bệnh, chữa bệnh: 

 

Số 000436/HP-GPHĐ do Sở Y tế cấp lần 1 ngày 07/11/2022

YenLe Dental

NHA KHOA HOÀN MỸ - THƯƠNG HIỆU MỚI NHA KHOA YENLE DENTAL  - CƠ SỞ 3

Địa chỉ: Số 213 Hàng Kênh, Phường Trại Cau, Quận Lê Chân, Thành Phố Hải Phòng

Điện thoại: 0981.284.628 - 0919.067.055

Email: nhakhoahoanmyhp@gmail.com

Giấy phép hoạt động khám bệnh, chữa bệnh: 

 

Số 000436/HP-GPHĐ do Sở Y tế cấp lần 1 ngày 07/11/2022

YenLe Dental

NHA KHOA HOÀN MỸ - THƯƠNG HIỆU MỚI NHA KHOA YENLE DENTAL  - CƠ SỞ 4

Địa chỉ: Số 04 Lô 20C Lê Hồng Phong, Đông Khê, Ngô Quyền, Hải Phòng

(Lối vào cạnh Lạc Hồng)

Điện thoại: 0981.284.628 - 0919.067.055

Email: nhakhoahoanmyhp@gmail.com

Giấy phép hoạt động khám bệnh, chữa bệnh: 

 

Số 000436/HP-GPHĐ do Sở Y tế cấp lần 1 ngày 07/11/2022

YenLe Dental

NHA KHOA HOÀN MỸ - THƯƠNG HIỆU MỚI NHA KHOA YENLE DENTAL  - CƠ SỞ 5

Địa chỉ: 120 Lý Thường Kiệt, Hồng Bàng, Hải Phòng

Điện thoại: 0981.284.628 - 0919.067.055

Email: nhakhoahoanmyhp@gmail.com

Giấy phép hoạt động khám bệnh, chữa bệnh: 

 

Số 000436/HP-GPHĐ do Sở Y tế cấp lần 1 ngày 07/11/2022

YenLe Dental

NHA KHOA HOÀN MỸ - THƯƠNG HIỆU MỚI NHA KHOA YENLE DENTAL - CƠ SỞ 6

Địa chỉ: Số 70 Nguyễn Lương Bằng, Văn Đẩu, Kiến An, Hải Phòng

Điện thoại: 0981.284.628 - 0919.067.055

Email: nhakhoahoanmyhp@gmail.com

Giấy phép hoạt động khám bệnh, chữa bệnh: 

Số 000436/HP-GPHĐ do Sở Y tế cấp lần 1 ngày 07/11/2022

YenLe Dental

NHA KHOA HOÀN MỸ - THƯƠNG HIỆU MỚI NHA KHOA YENLE DENTAL  - CƠ SỞ 7

Địa chỉ: Phố Ghẽ, Tân Trường, Cẩm Giàng, Hải Dương

Điện thoại: 0981.284.628 - 0919.067.055

Email: nhakhoahoanmyhp@gmail.com

Giấy phép hoạt động khám bệnh, chữa bệnh: 

Số 000436/HP-GPHĐ do Sở Y tế cấp lần 1 ngày 07/11/2022

YenLe Dental

 NHA KHOA HOÀN MỸ - THƯƠNG HIỆU MỚI NHA KHOA YENLE DENTAL - CƠ SỞ 8

Địa chỉ: Số 78 Vĩnh Hưng, Hoàng Mai, Hà Nội

Điện thoại: 0981.284.628 - 0919.067.055

Email: nhakhoahoanmyhp@gmail.com

Giấy phép hoạt động khám bệnh, chữa bệnh: 

Số 000436/HP-GPHĐ do Sở Y tế cấp lần 1 ngày 07/11/2022

Liên hệ
Email: nhakhoayenledental@gmail.com
Hotline: 0919 067 055
Giờ làm việc: 
Sáng:  Từ 8:00 đến 12:00
Chiều: Từ 14:00 đến 20:00
HỆ THỐNG YENLE DENTAL
YENLE DENTAL NHA KHOA HOÀN MỸ - CƠ SỞ 1
Địa chỉ: Số 214 Tô Hiệu, Phường Trại Cau, Quận Lê Chân, Thành Phố Hải Phòng
Điện thoại: 0981.284.628 - 0919.067.055

NHA KHOA HOÀN MỸ - THƯƠNG HIỆU MỚI NHA KHOA YENLE DENTAL - CƠ SỞ 2

Địa chỉ: Số 118 Tô Hiệu, Phường Trại Cau, Quận Lê Chân, Thành Phố Hải Phòng

Điện thoại: 0981.284.628 - 0919.067.055

NHA KHOA HOÀN MỸ - THƯƠNG HIỆU MỚI NHA KHOA YENLE DENTAL  - CƠ SỞ 3

Địa chỉ: Số 213 Hàng Kênh, Phường Trại Cau, Quận Lê Chân, Thành Phố Hải Phòng

Điện thoại: 0981.284.628 - 0919.067.055

NHA KHOA HOÀN MỸ - THƯƠNG HIỆU MỚI NHA KHOA YENLE DENTAL  - CƠ SỞ 4

Địa chỉ: Số 04 Lô 20C Lê Hồng Phong, Đông Khê, Ngô Quyền, Hải Phòng

Điện thoại: 0981.284.628 - 0919.067.055

NHA KHOA HOÀN MỸ - THƯƠNG HIỆU MỚI NHA KHOA YENLE DENTAL  - CƠ SỞ 5

Địa chỉ: 120 Lý Thường Kiệt, Hồng Bàng, Hải Phòng

Điện thoại: 0981.284.628 - 0919.067.055

NHA KHOA HOÀN MỸ - THƯƠNG HIỆU MỚI NHA KHOA YENLE DENTAL - CƠ SỞ 6

Địa chỉ: Số 70 Nguyễn Lương Bằng, Văn Đẩu, Kiến An, Hải Phòng

Điện thoại: 0981.284.628 - 0919.067.055

NHA KHOA HOÀN MỸ - THƯƠNG HIỆU MỚI NHA KHOA YENLE DENTAL  - CƠ SỞ 7

Địa chỉ: Phố Ghẽ, Tân Trường, Cẩm Giàng, Hải Dương

Điện thoại: 0981.284.628 - 0919.067.055

NHA KHOA HOÀN MỸ - THƯƠNG HIỆU MỚI NHA KHOA YENLE DENTAL  - CƠ SỞ 8

Địa chỉ: 78 Vĩnh Hưng - Hoàng Mai - Hà  Nội

Điện thoại: 0981.284.628 - 0919.067.055

NHA KHOA HOÀN MỸ - THƯƠNG HIỆU MỚI YENLE DENTAL
Giấy phép hoạt động khám bệnh, chữa bệnh: Số 000436/HP-GPHĐ do Sở Y tế cấp lần 1 ngày 07/11/2022
Bản quyền thuộc về  nhakhoahoanmy.com.vn
 

 

To top
Liên hệ
tiktok icon youtube icon messenger icon messenger icon messenger icon zalo icon
call icon